All
Search
Images
Videos
Maps
News
More
Shopping
Flights
Travel
Notebook
Report an inappropriate content
Please select one of the options below.
Not Relevant
Offensive
Adult
Child Sexual Abuse
Length
All
Short (less than 5 minutes)
Medium (5-20 minutes)
Long (more than 20 minutes)
Date
All
Past 24 hours
Past week
Past month
Past year
Resolution
All
Lower than 360p
360p or higher
480p or higher
720p or higher
1080p or higher
Source
All
Dailymotion
Vimeo
Metacafe
Hulu
VEVO
Myspace
MTV
CBS
Fox
CNN
MSN
Price
All
Free
Paid
Clear filters
SafeSearch:
Moderate
Strict
Moderate (default)
Off
Filter
0:24
For the 1st time ever, a person who uses a wheelchair will fly to space
1 week ago
ABC7 Chicago
Matthew Glasser,Julia Jacobo
0:36
Fan who accosted Ariana Grande at 'Wicked: For Good' premiere sente
…
1 month ago
ABC7 Chicago
Mason Leib,Andrea Dresdale
3:40
2 supervisory officers testify in Luigi Mangione's evidence suppressio
…
2 weeks ago
ABC7 Chicago
Aaron Katersky,Tonya Simpson
0:33
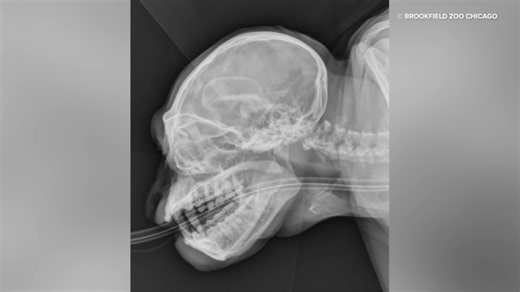
New photos show spooky X-rays of animals at Brookfield Zoo Chicago
2 months ago
ABC7 Chicago
ABC7 Chicago Digital Team
Trump says he'll designate antifa as a terrorist group but offers few det
…
3 months ago
ABC7 Chicago
SEUNG MIN KIM
World's largest food company is cutting 16K jobs due partly to auto
…
2 months ago
ABC7 Chicago
Ana Nicolaci da Costa,CNN
0:27
Court temporarily blocks restrictions on use of force by fed
…
1 month ago
ABC7 Chicago
ABC7 Chicago Digital Team
2:16
Faith leaders rally support for Little Village as immigration enforceme
…
3 weeks ago
ABC7 Chicago
Sarah Schulte
0:21
Indiana Gov. Mike Braun calls special session to redraw state's c
…
2 months ago
ABC7 Chicago
ISABELLA VOLMERT
0:55
Homeowner charged after allegedly shooting would-be porch pirates i
…
1 week ago
ABC7 Chicago
2:14
2 killed, 9 hurt in Brown University shooting; video of suspected sho
…
2 weeks ago
ABC7 Chicago
ABC7 Chicago Digital Team
0:37
Michelle Obama says she, husband 'were supposed to be seeing' Rob
…
1 week ago
ABC7 Chicago
Smash-and-grab burglars steal ATM from Heart of Chicago mini-mart,
…
2 months ago
ABC7 Chicago
ABC7 Chicago Digital Team
2:02
Surveillance video shows dramatic moment stolen Ferrari slams into
…
1 week ago
ABC7 Chicago
Steven Yablonski
No Hail Mary magic this time and Moody's last-play kick lifts the Be
…
2 months ago
ABC7 Chicago
HOWARD FENDRICH
1:47
Teen 'serial rapist' sentenced to 35 years in prison: 'Depraved, inhum
…
1 month ago
ABC7 Chicago
Jenna Wells,WDJT
2:42
Federal agents pepper spray 1-year-old girl in Cicero after Little Villag
…
1 month ago
ABC7 Chicago
Michelle Gallardo
2:47
Pritzker signs bill allowing some terminally ill adults to take their o
…
2 weeks ago
ABC7 Chicago
Evelyn Holmes,ABC7 Chicago Digital Team
2:44
Documentary tells story of Chicago Jackie Robinson West Little Leag
…
2 months ago
ABC7 Chicago
Hosea Sanders,Marsha Jordan
2:25
Meet 'Ella McCay,' the latest big screen muse of Oscar winner Jam
…
2 weeks ago
ABC7 Chicago
George Pennacchio
2:10
Lincoln Park, West Loop day cares close abruptly, leaving many with
…
2 months ago
ABC7 Chicago
Leah Hope
8:33
Kenzie Roman from Q101 co-hosts 'Windy City Weekend,' with comed
…
2 months ago
ABC7 Chicago
ABC7 Chicago Digital Team
0:14
Crews appear to start dismantling Broadview ICE facility fence; dead
…
2 months ago
ABC7 Chicago
Jasmine Minor,Rob Hughes,Ravi Baichwal
2:32
Federal agents detain multiple people on Northwest Side, push al
…
1 month ago
ABC7 Chicago
Lissette Nuñez
0:22
Board of Education votes to make ChiArts a CPS-managed performin
…
1 month ago
ABC7 Chicago
Leah Hope
3:25
Keeping history alive with B&B in 1 of Texas' oldest homes
Apr 30, 2021
ABC7 Chicago
2:41
Brownsville Community Culinary Center cooks up healthy meals fo
…
Oct 2, 2020
ABC7 Chicago
Emily Sowa & Mackenzie Sammeth
2:22
99-year-old WWII veteran reflects on Iwo Jima's 80th anniversary
8 months ago
ABC7 Chicago
Matteo Iadonisi
1:02
Santa's house valued at more than $1 million, boasts stone fireplace
…
Dec 23, 2021
ABC7 Chicago
1:58
CPS and CTU make progress, but still no deal over Chicago high sc
…
Apr 14, 2021
ABC7 Chicago
Michelle Gallardo
See more videos
More like this
Feedback